Búsqueda


Mostrando 361-380 de 4.822 resultados para la consulta central sistema

Fondo Monetario Internacional (FMI)

Fondo Monetario Internacional (FMI) _International Monetary Found’’ (IMF)___   Situación de Fondo Monetario Internacional (FMI)   Sede Washington D.C. Estados Unidos Tipo ...
15.438 palabras

Suecia

LOCALIZACIÓN NOMBRE OFICIAL _Konungariket Sverige_Reino de Suecia BANDERA INFORMACIÓN BÁSICA CAPITAL Estocolmo786 509 (marzo 2007)59°20′ N 18°3′ E GEO POSICIÓN 59_19_39_N_18_ ...
25.928 palabras

Europa

Uno de los cinco continentes o partes del mundo, prolongación occidental de Asia, y separado del continente africano por el mar Mediterráneo. Extensión, 10.530.751 km2. 739.000.000 habitantes ( ...
44.361 palabras

Alta Velocidad Española (A.V.E.)

Denominación del sistema ferroviario de alta velocidad que se estableció en España en 1992, tercero de los implantados en el mundo, con la inauguración de la línea de alta velocidad y ancho ...
3.895 palabras

Vertebrados

?VERTEBRADOS Ejemplar de koala (_Phascolarctus cinereus_), un mamífero marsupial, y por tanto perteneciente a los vertebrados, subido a un eucalipto en el _Lone Pine Sanctuary_, estado de ...
9.706 palabras

Sida

Acrónimo de Síndrome de Inmunodeficiencia Adquirida. Se trata de un conjunto de síntomas característicos de diversas enfermedades (infecciones oportunistas, diversos tipos de cánceres, alteraciones ...
16.111 palabras

Friedrich Schelling

(Leonberg, Ducado de Württemberg, Sacro Imperio Romano Germánico , 27-I-1775 — Bad Ragaz, Suiza, 20-VIII-1854). Friedrich Wilhelm Joseph von Schelling. Filósofo alemán. FRIEDRICH SCHELLINGFRIEDRICH ...
10.428 palabras

Accidente de Chernóbil

El 26 de abril de 1986, la explosión del reactor número cuatro de la central nuclear de Chernóbil (Ucrania, antigua URSS) desencadenó el mayor accidente nuclear de la historia, que arrojó a la ...
6.171 palabras

Disidencia. Al Este no está el Eden

Mujeres y niños se agolpan ante la verja de los astilleros Lenin. INTRODUCCIÓNEn octubre de 1975, el Premio Nobel de la paz recayó en Andrei Sajarov, la personalidad más destacada de la disidencia en ...
4.838 palabras

Aztecas

Pueblo nativo de México, procedente de la zona en que se encuentra la actual ciudad de San Luis Potosí, donde se instalaron temporalmente tras separarse de los chichimecas, pueblo indígena que ...
29.900 palabras

Trabajo

Trabajo, en un sentido amplio, es toda actividad humana que transforma la naturaleza a partir de cierta materia dada. La palabra deriva del latín _tripaliare_, que significa «torturar»; de ahí, el ...
16.840 palabras

Italia

LOCALIZACIÓN NOMBRE OFICIAL _Repubblica Italiana_República Italiana BANDERA INFORMACIÓN BÁSICA CAPITAL Roma2.724.668 (2009)41°54′ N 12°29′ E GEO POSICIÓN 41_54_N_12_29_E_ 41° ...
64.047 palabras

Las revueltas populares en América Latina

México, soldados del Sur, 1855. El período posterior a la independencia estuvo dominado por los continuos enfrentamientos entre las distintas facciones en lucha por el poder. INTRODUCCIÓNSoldados en ...
16.041 palabras

Brenda (Versión para imprimir)

Esta es la VERSIÓN PARA IMPRIMIR de _Brenda_.Si imprimes esta página, o eliges la opción de Vista preliminar de impresión en tu navegador, verás que desaparecen este cuadro, los encabezados y los ...
182.789 palabras

Disidencia. Al Este no está el Eden

Mujeres y niños se agolpan ante la verja de los astilleros Lenin.En octubre de 1975, el Premio Nobel de la paz recayó en Andrei Sajarov, la personalidad más destacada de la disidencia en la Unión ...
4.789 palabras

Seis estudios sobre la historia de la arquitectura arequipeña

La Casa del Moral. Esta casona colonial constituye uno de los mejores ejemplos de la arquitectura barroca arequipeña del siglo XVIII. Debe su nombre al viejo árbol de mora ubicado en el centro ...
20.142 palabras

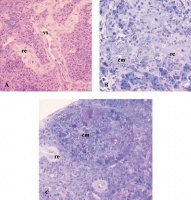
Apéndice gráfico

Figura 6.–Secciones histológicas del tegumento de S. Senegalensis. A. Piel de la porción cefálica donde se distingue la epidermis (e), la dermis (d) y la capa de la melanina ( ) en la dermis (x10 ...
15.845 palabras

Efectos de la corrosión en las estructuras de hormigón armado y medida de la misma

RESUMENSe pasa revista a los efectos de la corrosión sobre las estructuras de hormigón armado, que se manifiestan en tres vertientes: sobre el acero, sobre el hormigón y sobre la adherencia entre ...
10.832 palabras

De la “Ley Moyano” a La Gloriosa: Parte II

EL GIRO CONSERVADOR DEL MINISTRO OROVIO Y SU REPERCUSIÓN EN LA ESCUELA DE ARQUITECTURALo acaecido apenas año y medio después de aprobado el reglamento no puede resultar más contradictorio y ...
20.679 palabras

El proyecto centralizador de Sarmiento

Domingo Faustino Sarmiento heredó una fuerza militar descentralizada, caracterizada por una composición dual —Ejército de Línea y Guardia Nacional— que proyectó el poder militar de los gobernadores ...
5.773 palabras
Este sitio web utiliza cookies, propias y de terceros con la finalidad de obtener información estadística en base a los datos de navegación. Si continúa navegando, se entiende que acepta su uso y en caso de no aceptar su instalación deberá visitar el apartado de información, donde le explicamos la forma de eliminarlas o rechazarlas.
Aceptar | Más información